Sorrisos que Transformam Vidas
A Dellara Clínica Odontológica é uma clínica moderna e acolhedora, dedicada à saúde e estética do sorriso. Com uma equipe experiente e tecnologia avançada, oferece tratamentos personalizados em várias especialidades, como ortodontia, implantodontia, estética dentária e reabilitação oral.
O foco é proporcionar bem-estar, conforto e resultados de excelência, com um atendimento humanizado e de confiança. Na Dellara, cada detalhe é pensado para garantir uma experiência positiva e transformar sorrisos com qualidade e dedicação.

Dr. Wanderley Barros
Responsável Técnico
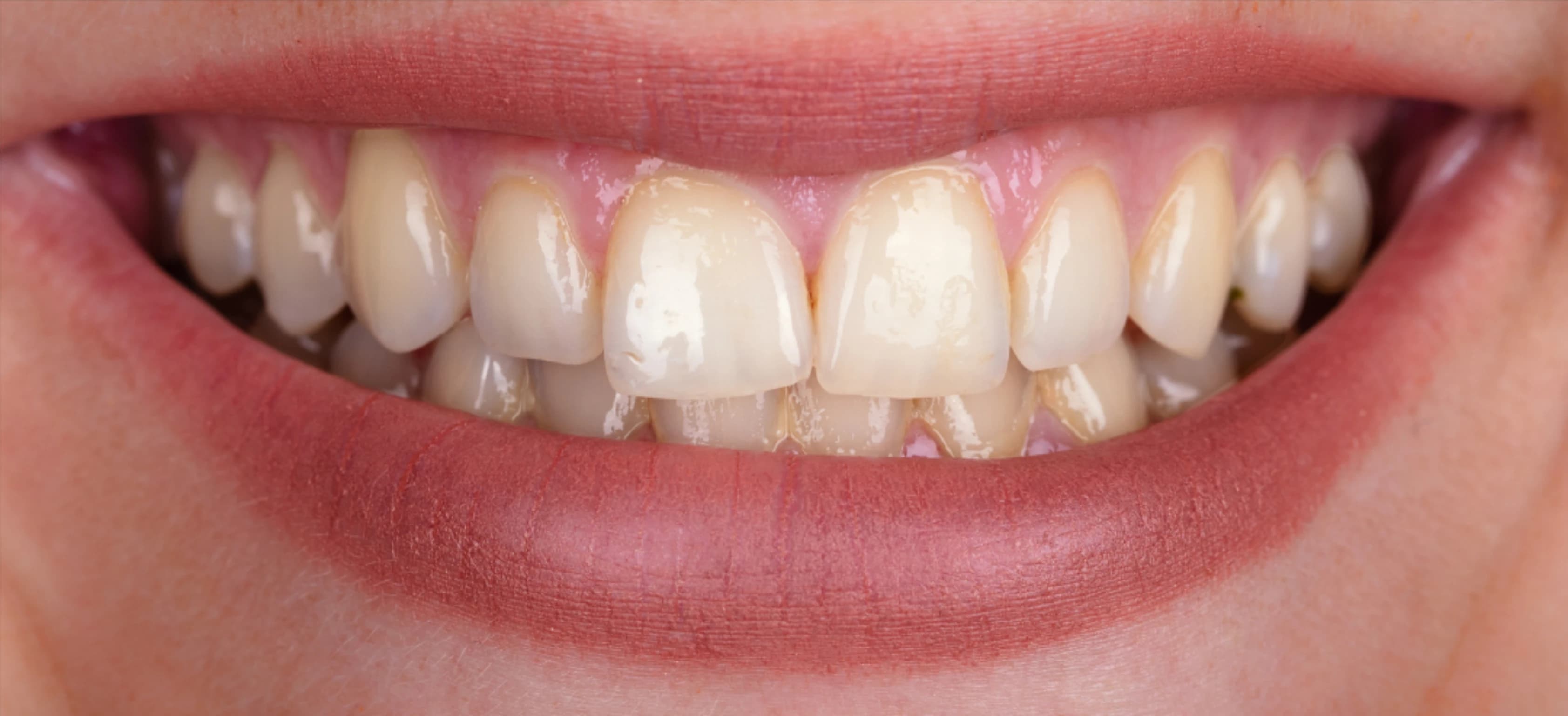
Recupere o Brilho do Seu Sorriso
Transforme sua autoestima com um clareamento dental seguro e eficaz. Descubra o sorriso radiante que sempre desejou.
Tecnologia Avançada em Clareamento
Utilizamos as mais modernas técnicas e equipamentos para garantir um clareamento dental eficiente e seguro. Nossa tecnologia de ponta permite resultados superiores sem danificar o esmalte dentário.
Pronto para Transformar seu Sorriso?
Agende uma avaliação gratuita e descubra como o clareamento dental pode devolver o brilho e a confiança ao seu sorriso.
Nossos Serviços
Conheça nossa gama completa de tratamentos odontológicos, realizados com tecnologia de ponta e equipe especializada.
Cirurgia Oral
Realizamos cirurgias orais com tecnologia de ponta, incluindo extrações de dentes inclusos, remoção de cistos, enxertos ósseos e preparação para implantes. Utilizamos anestesia local e sedação consciente para máximo conforto.
- ✓Extrações complexas
- ✓Implantes dentários
- ✓Enxertos ósseos
- ✓Cirurgia periodontal
- ✓Sedação consciente
Nossa Equipe
Conheça nossa equipe de profissionais especializados, dedicados a proporcionar o melhor cuidado para seu sorriso.

Dr. Wanderley Silva
Cirurgião-DentistaPós graduado em implantodontia, Cirurgia Plástica Periodontal, Cirurgia Oral menor, Laminados Cerâmicos e prótese fixa.

Dra. Vanine Monteiro
Cirurgiã-DentistaEspecialista em Endodontia, com atuação humanizada voltada à preservação dentária e ao alívio da dor.

Dr. Matheus Montenegro
Cirurgião-DentistaEspecialista em ortodontia e ortopedia fácil, foco no atendimento humanizado buscando sempre um atendimento com excelência.
Nossa Clínica
Um espaço moderno, seguro e pensado especialmente para você
Conheça nossa estrutura e os diferenciais que tornam sua experiência única. Na Dellara Odontologia, combinando modernidade e acolhimento para que cada paciente se sinta tranquilo desde o momento em que entra.
Cada detalhe foi pensado para garantir higiene, tecnologia e eficiência, seguindo rigorosos protocolos de segurança. Assim, oferecemos um atendimento de excelência, num espaço interno que reflete profissionalismo e cuidado.
Acessibilidade
Rampas, portas largas e sinalização clara. Espaço pensado para pessoas com mobilidade reduzida.
Conforto
Sala de espera acolhedora, ambiente climatizado e poltronas ergonómicas.
Tecnologia Avançada
Equipamentos modernos para diagnóstico preciso e ferramentas digitais.
Segurança
Protocolos rigorosos de higiene, esterilização certificada e monitorização.

Recepção Aconchegante
Um ambiente amplo e acolhedor para recebê-lo com todo conforto e cuidado que você merece
Perguntas Frequentes
Tire suas dúvidas sobre nossos tratamentos, agendamentos e procedimentos. Estamos aqui para ajudar você a cuidar do seu sorriso.
Funcionamos de segunda a sexta das 8h às 18h, e aos sábados das 8h às 12h.










